画像検査・画像診断
天井走行式X線管懸垂器&X線テレビシステムを更新しました!!
2023年5月にレントゲン撮影用天井走行式X線管懸垂器を島津製作所製【CH-200M】にX線テレビシステムを島津製作所製【FLEXAVISION】に更新しました。
当院の検査機器は全てデジタル化されており、撮影が終わると直ちに主治医が画像を確認できるようにPACS(パックス)を導入しております。
PACS(Picture Archiving and Communication System)とはCT・DR・レントゲン画像などの医療用画像データをネットワークでやりとりすることを言います。検査終了後、直ちに画像をモニターで見る事ができ、患者様の待ち時間短縮に繋がるよう努めています。
最新の設備と精密な情報で、医師の迅速で正確な診断を助け、そして患者様には検査への不安を取り除いていけるような検査環境を提供しております。
また、近年、X線装置による検査が多様化するに伴い、被ばくに関する重要性が高まっております。当院は装置を最新機器に更新する事で迅速・確実な画質を保ちながらトータルで被ばく低減を目指しております。
レントゲン装置

【CH-200M】は、患者様へのレントゲン撮影時の負担を減らし自在なポジショニングが可能でスムーズな撮影が行えます。また、今回、レントゲン撮影室内のレイアウトを変更しました。これによって明るく開放的な撮影室となり患者様の移動や介助がより安全に行えるようになりました。
<レントゲン装置をKONICA MINOLTA AeroDR fineに更新しました!!>
当院は、2020年5月にKONICA MINOLTA AeroDR fineを導入しました。
AeroDR fineは、検出シンチレータにヨウ化セシウムを使用し、高解像・高感度・高画質を実現したレントゲン装置です。
高解像では、世界最小レベルの画素サイズである100μmを実現しつつ高感度で撮影X線量(被ばく線量)の大幅な低減(従来よりおおよそ50%減)が可能です。
また、新画像処理エンジンを搭載し高画質となりました。
さらに、画像処理時間が短くなったことで撮影から画像転送までが短時間で行え患者様の待ち時間の大幅な短縮につながりました。
CT(コンピュータ断層撮影)
<CT装置を80列CT Aquilion Lightning / Helios i Editionに更新しました!!>
<装置外観>
当院では、2020年5月に最新型CTである80列CT Canon Aquilion Lightning / Helios i Edition (以下、Helios i Edition)を導入しました。Helios i Editionは、Ai技術を用いた画像再構成技術であるAiCE-i を搭載した最新機種です。AiCEを用いることで、CT装置がもっている空間分解能を最大限に引き出しながら、高いノイズ低減効果を得ることができます。この技術によって大幅な被ばく低減と画質向上を実現しました。
また、80列CTの特徴を最大限に活かして患者様は寝台に横になるだけで頭部疾患(外傷・出血・梗塞など)から胸部領域および腹部領域(肝臓・胆嚢・すい臓・腎臓・膀胱・その他)にいたるまで、短時間で全身の広範囲を0.5mm間隔で精密検査が可能です。
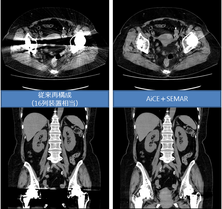
さらに、新しく体内金属からの画像劣化を最小限に抑える技術(SEMAR)も搭載しており、股関節など金属置換後の患者様にも高画質の検査が可能となりました。
その他にも開口部が78cmと大きく開放感があり、より快適に検査を受けていただけます。
詳しくは、医師またはスタッフまでお気軽にお問い合わせ下さい。

<股関節金属置換後>

<下肢血管造影CT>
さらにワークステーションを用いる事で、邪魔な骨や臓器を取り除き、任意の方向からの観察が可能となり、レントゲン写真では解りにくい骨折や腹部血管の走行が手術前に確認出来ることで、より正確な診断とより安全な手術が行えます。
また、被ばく線量低減にも努めております。-

<仮想内視鏡CT>

<膝関節3DCT>
DR(デジタル透視撮影装置)
【FLEXAVISION】は、フルデジタルで様々な検査シーンにフレキシブルに対応可能な装置です。消化管造影検査からDSA搭載血管造影、胆肝膵造影検査(ERCP)、嚥下造影検査(VF)、整形領域など幅広い検査に対応しております。今回、寝台昇降機能が装備され患者様のストレッチャー、車いすからの移動がスムーズに行えるようになりました。また、被ばく低減の観点からも低線量パルス透視や画像に貢献しない不要な軟X線を的確に除去する軟線除去フィルタなど様々な被ばく低減機能を実現した機種です。



